文章来源:潮游速递网作者:admin发布时间:2026-01-12 19:26:10
据媒体报道,近日福建有位男子连续发烧10天不见好转,后来才发现自己感染的是鹦鹉热。
他自己说,他是个司机,前阵子突然想养只鹦鹉,不过开车的时候不方便照看,所以总爱把鹦鹉揣在口袋里,开车的空当能逗着玩会儿。
可没几天,他突然发高烧到38.7℃,同时还有寒战、干咳、浑身乏力等表现。一开始林师傅觉得只是普通的感冒,没怎么在意,自己吃了点感冒药后,体温确实降了一些。本以为情况会慢慢好起来,可没过多久,体温又升了上去,症状也变得更严重了,还开始头晕头痛、反应变慢,精神状态特别差。
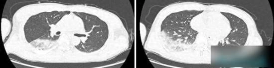
最终,家人送林师傅去医院检查,一系列检查结果出来后,所有人都大吃一惊:林师傅不仅双肺下叶有炎症,肝功能和肾功能也受到了损伤,多项炎症指标更是远远超出正常范围。
医生进一步询问病史后,了解到患者有“在口袋里养鹦鹉”的习惯,经过后续检查,最终确诊为鹦鹉热衣原体感染。
医生提醒,鹦鹉热属于人畜共患病,其主要传染源为禽类,潜伏期最长可达45天,并且感染后不会产生持久免疫力,存在再次感染的可能性。
怎样在喜马拉雅app上免费收听付费内容
22:50timing要怎么退出群聊呢
22:43超神清理app的使用方法是什么
22:29声洞放歌的方法是什么
22:23timing账号的注销方法是什么
22:16怎样在希沃白板里导入PPT文件
22:12柠檬喝水怎么查看自己的喝水量
21:58vivo手机怎样隐藏游戏应用,避免被他人察觉
21:5158到家的缓存要怎么清理呢
21:45